

UMÓW SIĘ NA WIZYTĘ

Rejestracja telefoniczna
+48 32 262 21 21

Rejestracja mailowa
pacjent@klienci.inter-aktywni.pl

Rejestracja online
Formularz online
Godziny pracy:

W celu sprawdzenia aktualnych godzin pracy Poradni prosimy o kontakt z rejestracją Centrum Zdrowia Jomadent (+48 32 262 21 21)
STOMATOLOGIA
Ortodoncja

Ortodoncja to dziedzina stomatologii odpowiedzialna za leczenie różnorodnych wad zgryzu, zarówno u dzieci, nastolatków jak i osób dorosłych. Zajmuje się także profilaktyką wad zgryzu, dlatego wizytę u ortodonty warto zaplanować już w przypadku małych dzieci. Lekarz ortodonta oceni czy zgryz Waszych dzieci rozwija się prawidłowo i kiedy konieczne jest rozpoczęcie właściwego leczenia ortodontycznego, gdyż różne wady zgryzu wymagają leczenia w różnym czasie.
Ortodoncja to nie tylko „prostowanie zębów”, ale przede wszystkim uzyskanie harmonijnego zgryzu, który zapewnia piękny uśmiech, poprawę rysów twarzy i funkcji. Dlatego leczenie ortodontyczne jest dla pacjentów w każdym wieku. Bliska współpraca z lekarzami stomatologami innych specjalności Centrum Zdrowia Jomadent pozwala nam na bieżąco konsultować pacjentów wymagających kompleksowego leczenia ortodontyczno-implantologiczno-protetycznego tak, aby zapewnić najlepszy wynik leczenia nawet w trudnych sytuacjach.
Zespół medyczny
Nasz zespół lekarzy tworzą znakomici specjaliści, którzy wykonują swoją pracę z pasją i zaangażowaniem. Ciągły rozwój całego zespołu medycznego pozwala zagwarantować najwyższą jakość świadczonych usług.
Personel średni

DZIECI
Ortodoncja dla dzieci
Wady lub nieprawidłowości zgryzu u dzieci można zauważyć już w wieku 6-8 lat, gdy pojawiają się pierwsze stałe zęby. Jest to dobry czas aby pojawić się z dzieckiem na wizycie ortodontycznej, w celu sprawdzenia czy zęby rosną prawidłowo i nie wymagają pomocy ortodonty.

MŁODZIEŻ
Ortodoncja dla młodzieży
Najczęściej leczenie ortodontyczne prowadzone jest u dzieci i młodzieży w wieku 10-15 lat, czyli w okresie skoku wzrostowego. Efekty leczenia ortodontycznego prowadzone w tym okresie są najszybsze, skuteczne i długotrwałe. W tej grupie Pacjentów wiele osób traktuje aparat jako element swojego młodzieńczego wizerunku, a my im w tym pomagamy.

DOROŚLI
Ortodoncja dla osób dorosłych
Korygowanie wad zgryzu jest możliwe w każdym wieku. Wiele osób dopiero w dorosłym życiu decyduje się na aparat ortodontyczny. W naszym Centrum oferujemy szerokie spektrum rozwiązań - aparaty ruchome, stałe oraz systemy przezroczystych nakłądek (Invisalign)
Poradnia Ortodontyczna Jomadent – ortodoncjadla dzieci, młodzieży i dorosłych.
- Podczas pierwszej wizyty wykonywana jest pełna diagnostyka, niezbędna do zaplanowania leczenia. Cyfrowy skan zębów, pozwala uniknąć nieprzyjemnych wycisków oraz umożliwia wizualizację efektów leczenia już na pierwszej wizycie. Omawiane są także różne sposoby leczenia.
- Oferujemy pacjentom szeroki wybór metod leczenia:
- przeźroczyste nakładki Invisalign
- aparaty stałe metalowe, ceramiczne, samoligaturujące
- aparaty ruchome oraz inne aparaty wspomagające leczenie (mikroimplanty)
- Plan i kosztorys leczenia ortodontycznego ustalany jest wspólnie z pacjentem podczas drugiej wizyty konsultacyjnej. Oferujemy również możliwość kredytowania leczenia.
Jak pracujemy ?
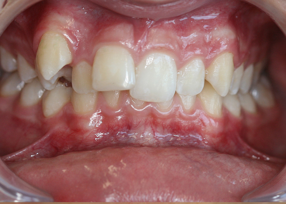
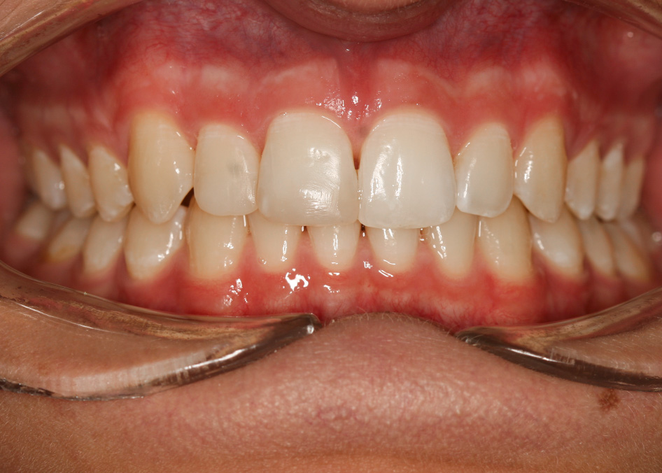
Zobacz efekty naszej pracy...




Dowiedz się więcej na temat Ortodoncji...

Warto wiedzieć
Kiedy rozpocząć leczenie ortodontyczne dzieci?
Pierwszą konsultację najlepiej przeprowadzić w początkowym okresie wyrzynania zębów stałych. Najczęściej leczenie ortodontyczne prowadzone jest u dzieci w wieku 10 – 15 lat, czyli w okresie skoku wzrostowego. Jednak część wad zgryzu wymaga wcześniejszej interwencji, nawet w okresie uzębienia mlecznego. Leczenie może być prowadzone aparatami stałymi lub ruchomymi, a często także aparatami zewnątrzustnymi. Leczenie ortodontyczne przeprowadzone w odpowiednim czasie umożliwia skorygowanie wielu nieprawidłowości szkieletowych, a nie tylko „prostowanie zębów”. Leczenie takie poprawia rysy twarzy i pozwala cieszyć się pięknym uśmiechem przez całe życie.
Aparat ortodontyczny nie tylko dla dzieci?
Obecnie aparaty stałe umożliwiają korektę wad zgryzu u pacjentów w każdym wieku, przy zapewnieniu maksymalnego komfortu i estetyki (zamki ceramiczne, szafirowe, aparaty językowe).
Często leczenie ortodontyczne prowadzone jest w celu przygotowania pacjenta do leczenia implantoprotetycznego lub protetycznego. Postępowanie takie jest dłuższe ale pozwala uzyskać znacznie lepszy wynik estetyczny. Ortodontyczne przesuwanie zębów w połączeniu z odbudową estetyczną materiałem kompozytowym często pozwala na uzyskanie pięknego uśmiechu bez potrzeby szlifowania zębów pod korony.
Również osoby z chorobami przyzębia, chcące zachować swoje zęby jak najdłużej, mogą być leczone aparatami stałymi. Leczenie takie wymaga ścisłej współpracy lekarzy różnych specjalności m.in. ortodonty, periodontologa, protetyka i chirurga, którą zapewnia Centrum Zdrowia Jomadent.
Mikroimplanty ortodontyczne, czyli śruby o śr. 1,2- 1,6 mm, wkręcane do kości tymczasowo znacznie rozszerzyły możliwości leczenia pacjentów dorosłych, także z dużymi brakami zębowymi i patologicznymi wędrówkami zębów.
Czasami utrata zęba stałego jest bodźcem do podjęcia leczenia ortodontycznego, które umożliwi poprawę uśmiechu, warunków zgryzowych i zamknięcia szpary po zębie bez protetyki.
Poznaj Dental Monitoring
innowacyjne rozwiązanie
wspierające kontrolę
procesu leczenia pacjenta
Dental Monitoring umożliwia dokładną kontrolę procesu leczenia
przy optymalnym wykorzystaniu czasu zespołu stomatologicznego
dzięki zastosowaniu sztucznej inteligencji.

Miej pewność, że
leczenia przebiega
zgodnie z planem
Otrzymuj raporty о postępach leczenia i na bieżąco reaguj na ewentualne problemy poprzez kontrolę w trakcie całego leczenia, nie tylko podczas wizyt расjenta w gabinecie.


Umawiaj wizyty
pacjentów w razie
potrzeby
Dostosuj termin i czas trwania wizyty w zależności od wykrytych problemów u pacjenta. Dzięki Dental Monitoring wiesz, z jaką sytuacją pacjent zjawi się w gabinecie i lepiej zaplanujesz grafik.


Usprawnij
komunikację z
pacjentem
Zapewnij swoim pacjentom komfortową komunikację z Twoim zespołem za pośrednictwem naszej aplikacji, bez konieczności kontaktu pacjenta z recepcją gabinetu.

Zwiększ wydajność
Twojego zespołu
Dzięki lepszej kontroli nad procesem leczenia, optymalizacji procesów oraz lepszej komunikacji, Dental Monitoring pozwala zaoszczędzić czas lekarza i zespołu.
Opinia Pacjenta o DentalMonitoring
Perfekcyjny uśmiech dzięki ortodoncji w Jomadent
Ortodoncja to kluczowy element nowoczesnej stomatologii, który pozwala nie tylko na poprawę estetyki uśmiechu, ale również na funkcjonalność zębów. W Jomadent w Dąbrowie Górniczej oferujemy szeroki zakres usług ortodontycznych, które są dostosowane do potrzeb i oczekiwań naszych pacjentów z całego Śląska, w tym z miast takich jak Katowice, Będzin, Czeladź i Sosnowiec.
Dlaczego warto wybrać naszą klinikę ortodontyczną?
Nasi ortodonci korzystają z najnowocześniejszych technik i aparatury, aby zapewnić każdemu pacjentowi maksymalny komfort i skuteczność leczenia. Od tradycyjnych aparatów stałych, przez nowoczesne systemy bezszynowe, aż po najnowsze technologie ortodontyczne, oferujemy rozwiązania, które są skuteczne i estetycznie przyjemne.
Niech Twój uśmiech stanie się Twoją wizytówką! Zainwestuj w swoje zdrowie i estetykę z Jomadent. Skontaktuj się z nami, aby umówić się na konsultację i dowiedz się, jak możemy Ci pomóc uzyskać proste i piękne zęby.

Masz pytanie?
Jeśli masz pytanie związane z pracą Poradni, lekarza lub inne - prosimy o skorzystanie z formularza kontaktowego obok.
Zapraszamy również na nasze kanały Social Media










